Interaktion und Perspektive
Schluckstörung und Elektrotherapie
Inzwischen werden Formen der Elektrotherapie als Trainingsgeräte für Fitness am Markt zelebriert und verkauft.
So kommt es entsprechend vor, dass zuweilen auch Patienten in meine Praxis kommen und in mein Elektrotherapiegerät vocaSTIM Master große Hoffnung setzen.
Es ist dabei wichtig zu wissen, dass mit dem vocaSTIM Master nur die Muskulatur angeregt wird.
Eine Schluckstörung kann jedoch verschiedene Ursachen haben und beschränkt sich nur selten auf eine Schwächung oder Lähmung der Muskulatur.
Der Schluckreflex
Durch unseren Schluckrefelx wird die Flüssigkeits- und Nahrungsaufnahme ermöglicht. Mit der Auslösung des Schluckreflexes wird der Nasenraum durch unser Gaumensegel und die Luftröhre durch den Kehldeckel abgeschlossen, sodass es zu keiner Aspiration in die Lunge oder in die Nase kommen kann.
Somit erfüllt der Schluckreflex auch eine Schutzfunktion.
Ohne diesen Schutz ist die Flüssigkeits- und Nahrungsaufnahme sehr gefährlich, weil es bei Eintritt der Nahrung oder Flüssigkeit in die Lunge zur Lungenentzündung kommen kann.
Auch das Überschlucken in die Nase ist sehr unangenehm und kann zur Entzündung der Nasenschleimhaut führen.
Logopädie ist keine Massage
In der Logopädie werden Sprach-, Sprech-, Verständnis-, Schluck- und Stimmstörungen behandelt. Schon allein die Aufzählung der Behandlungsfelder zeigt, dass während der Therapie die aktive, meist willentliche Gestaltung des Umfelds berücksichtigt wird.
Nur in wenigen Fällen wird eine passive Behandlungsmethode zum Einsatz gewählt. Dies betrifft überwiegend die Schlucktherapie.
Demnach ist Logopädie keine Massage, sondern ein aktiver und selten passiver Lernprozess, der Kontinuität im Aufbau der Therapiebausteine benötigt. Anders ist ein Therapieziel kaum zu erreichen.
Logopädie braucht also Kontinuität. Warum eigentlich?
Warum muss ich ein Ausfallhonorar zahlen?
In all den Jahren meiner therapeutischen Tätigkeit, werden ich und meine Kollegen immer wieder damit konfrontiert, dass Patienten ohne Absage nicht zum vereinbarten Termin erscheinen.
Oftmals ist es auf das Wetter zurückzuführen. Entweder ist es den Patienten zu kalt oder das Badewetter lockt. Tolle Geschichten werden einem erzählt und doch wiederholen sich diese ständig. Das Auto sprang nicht an, man stand im Stau, das Wohlbefinden war nicht gut, man hatte doch Bescheid gesagt und und und. Vielleicht ist es auch Stress?
Aus welchem Grund auch immer der Patient nicht erscheinen konnte ist eigentlich vollkommen unerheblich. Einzig ein Krankenhausaufenthalt ist der triftigste Grund für eine Absage. Ein erlittener Unfall, eine Erkrankung mit Fieber oder einem Schub sowie ein schweres unvorhergesehenes Ereignis können dazu gezählt werden. Alle anderen Abwägungen beruhen auf Kulanz.
Können Sie sich weigern ein Ausfallhonorar zu zahlen? Warum müssen Sie das Ausfallhonorar zahlen?
Weshalb ist das Mundbild so wichtig?
In der Therapie spielt das Mundbild des/der Therapeuten/in eine wichtige Rolle.
Das Mundbild ist das physiologische Modell der motorischen Sprechabläufe und dient oft unbewusst der Anregung zur Nachahmung, aber auch zum besseren Verständnis bei Schwerhörigkeit oder lauter Umgebung.
Fast jeder greift instinktiv darauf zurück, sofern er keine Wahrnehmungsstörung hat. Dies bedeutet jedoch nicht, dass er als Dolmetscher im Lippenlesen fungieren kann.
Und doch begleitet es uns stetig im Alltag.
Schreiben nach einem Schlaganfall
Viele Erwachsene haben nach einem Schlaganfall eine Sprachstörung mit unterschiedlichsten Symptomen. Mit nur äußerst wenigen Ausnahmen erfolgte der Hirninfarkt in der linken Gehirnhälfte. Dort befindet sich das Sprachzentrum.
Sehr oft betroffen ist auch der Bewegungsapparat, der von der linken Gehirnhälfte innerviert wird. Das ist die gesamte rechte Seite unseres Körpers.
Dadurch können viele Betroffene nicht mehr richtig laufen, weil das rechte Bein gelähmt oder beeinträchtigt ist. Besonders schwierig ist es für den Erkrankten auch, wenn der rechte Arm oder die rechte Hand nicht mehr benutzt werden können.
Sie sollten nicht aufgeben.
Krusten, Ecken und Kanten
Es ist kaum zu glauben, aber Krusten, Ecken und Kanten beeinflussen das Wachstumsschema des Gesichtsschädels und der Zahnentwicklung.
Durch die Widerstandsarbeit beim Kauen mit zunehmend fester Kost entwickeln sich Knochen und Muskeln, welche die Ausprägung des Gesichtsschädels beeeinflussen.
Stete Weichkost dagegen verhindert die Wachstumsanregung von Kiefer- und Gesichtsschädel, hemmt die physiologische Entwicklung der Sensibilität im Mundraum und führt zu einer Störung der Muskulatur im Mund- sowie Gesichtsbereich.
Damit sind auch die Bewegungs- und Koordinationsabläufe sowie das muskuläre Gleichgewicht aller am Schlucken beteiligten Strukturen (Wangen-, Lippen- und Zungenmuskulatur) betroffen.
Was sollte man deshalb beachten?
Die Therapeutin wählt nur 30 Minuten Therapie.
Sie kommen mit einer Verordnung über 45 Minuten in die logopädische Praxis, weil Ihr Kind mit 3,5 Jahren immer noch nicht spricht und nur vereinzelt Laute äußert, welche sich in vielen Situationen wiederholen und doch andere Inhalte haben.
Vielleicht ist Ihr Kind Autist, hat eine zentrale Hörstörung, eine stark verkürzte Merkspanne, eine Aufmerksamkeitsstörung oder anderes. Oft ist es in diesem Alter noch ungewiss, wenn nicht eindeutig eine Behinderung festgestellt wurde.
Warum reduziert der/die TherapeutIn die Therapie nun auf 30 Minuten, obwohl der Arzt auf die Verordnung 45 Minuten schrieb und meint, es wäre sehr dringend?
Der Arzt ist nicht im Unrecht. Doch es ist nicht zu leisten. Warum?
Warum läuft der Speichel bei meinem Kind?
Kinder und Erwachsene können aus unterschiedlichen Gründen ihren Speichel nicht abschlucken. Sofern keine Schluckstörung aus neurologischer Sicht oder nach einer Operation vorliegt, muss die Eigenwahrnehmung verbessert werden.
Wenn Sie den Speichelfluss bei einem normal entwickelten Kind meinen, dann haben Sie schlichtweg versäumt, es Ihrem Kind beizubringen. Nun ist es sehr mühevoll dies zu verändern, nachzuholen.
Warum?
Kann man nicht einfach sagen: "Schluck doch mal."? Will man ständig darauf achten? Sicher nicht.
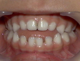
Trotz "th" (tee-aitch) kein offener Biss.
Manche Kinder mit einem [s]-Laut-Fehler haben auch einen frontalen offenen Biss.

Quellbild: Wikipedia - Die freie Enzyklopädie
Bei einem frontalen offenen Biss kommen Bereiche der oberen und unteren Schneidezähne nicht zusammen. Meist können die Kinder schlecht abbeißen und nutzen ihre Backenzähne dazu. Der [s]-Laut wird zwischen den Schneidezähnen gebildet und als interdental bezeichnet. Die Zunge wird also etwas herausgestreckt.
Was ist die Ursache?
Ich beiße mir oft in die Wange.
Schon manches Mal kam ein Klient in die Praxis und beklagte, dass er sich nach seiner Operation laufend in die Wange beißen und manchmal sogar etwas Speichel aus dem Mundwinkel laufen würde. Früher, also vor der Operation, wäre es nicht so gewesen.
Was könne er tun? Er hätte eine logopädische Verordnung von seinem Arzt.
Warum werden die Noten beim Lesen immer schlechter?
Ihr Kind kommt in die erste Klasse und lernt lesen. Alles ist ganz wunderbar. Stolz wird der Mama, dem Papa, der Oma und dem Opa vorgelesen.
Doch dann kommt alles ins Stocken. Ihr Kind kann einfache kleine Wörter nicht lesen und beginnt den Inhalt, der nicht gelesen wird, fantasievoll zu ersetzen. Manchmal guckt es nur ins Buch. Stille Leere.
Warum? Was ist passiert?
"Mama" oder "Papa"?
Na, wer darf sich zuerst freuen? Sagt unser Baby zuerst "Mama" oder "Papa"? Kann ich das vielleicht sogar beeinflussen?
Oder sagt unser Baby als erstes Wort etwas ganz anderes? Wer weiß? Vielleicht.
Wie entsteht das erste Wort?
Wenn man mal von den Erbanlagen absieht, die Sprache ermöglichen, muss dennoch täglich ununterbrochen kommuniziert werden, um es zu lernen.
Man könnte glatt von einem Plagiat sprechen. Es ist schlicht eine Übernahme fremder Darstellung durch Sehen, Fühlen und Hören.
Wenn Kleinkinder effizient sind.
Viele Kleinkinder möchten Ihren Nuckel nicht hergeben. Nicht nur nachts, sondern auch am Tag beruhigt er und wird voll in den Tagesablauf integriert.
"Ger hak mein Auko" beschwert sich ein kleiner Junge in der Kita. "Nein, dak roke Auko will issss. Dasss hak eine sssssöne Hupe."
Mütter verstehen Ihre Kinder meist. Fremde und Therapeuten müssen sich erst hineinhören. Sie sehen, grammatisch ist alles korrekt, aber die Aussprache ist entwicklungsbedingt schlecht verständlich. Was nun?
Darf man den Therapeuten wechseln?
Schon oft schimpfte man in meinem Praxisraum über die vorherige Therapeutin, weil es nichts gebracht hätte. Nun endlich, bei mir, würde das Kind Fortschritte machen.
Das kann schon mal vorkommen. Dies ist jedoch nicht die Regel. Es stellt sich eher die Frage: Wie lernt ein Kind? Der Entwicklungsprozess ist doch nicht linear.
Meine Stimme wird nicht besser, obwohl ich mich anstrenge
Die Stimme ist unser Tor zur Welt. Deshalb strengen sich viele beim Sprechen sehr an, um gehört zu werden. Doch wie lange geht das gut? Ist es wirklich der richtige Weg?
Ich sage hier eindeutig NEIN. Durch Anstrengung wird die Ursache einer Stimmschwäche nicht behoben. Der Sinn der Anstrengung liegt lediglich darin, die Symptome unbewusst zu überdecken. Das Ergebnis dieser Mühen ist eine immer schlechter werdende Stimme.
Den Löffel nicht zu weit schieben
Ich wurde mal von einer Krankenschwester gefragt, ob es einen Trick gäbe, dass die Patienten unter meiner Hilfe essen würden. Es ist jedoch kein Hokuspokus, sondern beruht auf Techniken des physiologischen Schluckens.
Ja, man staunt nur, wie pflegebedürftigen Kindern und Erwachsenen oftmals das Essen gereicht wird. Es ist nicht böswillig gemeint, aber häufig ähnelt es dem Akt des Stopfens. Vielleicht aus Zeitgründen oder mangelnder Kenntnis.
Was passiert, wenn man einen Esslöffel voll beladen nacheinander ohne Unterbrechung in den Mund schiebt? Essen ist doch Kultur.